Protetyka stomatologiczna
„Dajcie mi punkt podparcia, a poruszę Ziemię”
Archimedes z Syrakuz (ok. 287–212 p.n.e.)
grecki filozof przyrody i matematyk
Tak można dziś określić
nowoczesną, bardzo specjalistyczną i zaawansowaną protetykę i implantoprotetykę stomatologiczną.
Możliwości
i wachlarz rozwiązań protetycznych, jakimi dysponuje dziś lekarz specjalista protetyk, który potrafi połączyć osiągnięcia technologiczne XXI wieku
z biomechaniką i indywidualnym podejściem do danego problemu, daje ogromną szansę przywrócenia pacjentowi zdrowego, pięknego i funkcjonalnego uśmiechu… nawet w bardzo trudnej sytuacji klinicznej.
Pacjenci często zgłaszają się do nas z prośbą o usunięcie „zniszczonych
i brzydkich zębów”, jednak po szczegółowym badaniu stomatologicznym, analizie zdjęć RTG, analizie modeli diagnostycznych, badaniu stawów skroniowo-żuchwowych i konkretnym zaplanowaniu leczenia uzyskujemy efekty, które są powodem do dumy zarówno pacjenta jak i moim.
Zasada jest prosta
WŁASNY ZĄB TO NAJLEPSZY Z IMPLANTÓW
Czasem jednak stopień zniszczenia zęba jest tak duży, że inwestowanie w jego leczenie jest bezcelowe i trzeba go usunąć.
To jest czas na popis protetyczny i pełną rehabilitację układu narządu żucia. Czas tworzenia, wzruszeń, fascynacji i pobudzenia naszej wyobraźni.
Mając podparcie jestem w stanie zrobić wszystko 
CZAS WYKONANIA TO NAJCZEŚCIEJ DWA TYGODNIE !!!
Najlepsze efekty funkcjonalne i estetyczne możemy osiągnąć przy zastosowaniu tzw. prac stałych, czyli nieruchomych koron
i mostów porcelanowych. Są to rozwiązania, które są na stałe w ustach, myjemy je jak własne i nie możemy ich sami usunąć
z ust… maksymalny komfort i pewność siebie!!! Porcelana może być napalona na metalu lub na dużo bardziej kosmetycznej podbudowie cyrkonowej. Prace wykonujemy metodą tzw. frezowania przy zastosowaniu zaawansowanej aparatury komputerowej, co daje nam możliwości uzyskania niewyobrażalnej wręcz precyzji i szczelności brzeżnej. Takie prace stosujemy na zębach własnych lub na implantach. Tradycyjne korony nie przepuszczają światła naturalnego, a w świetle dyskotekowym i na salach balowych mogą wyglądać jak ciemna plama.W przeciwieństwie do nich korony pełnoceramiczne zbudowane z naturalnych materiałów są tak podobne do prawdziwych, że nie można ich odróżnić od naturalnych zębów.
Za każdym razem kiedy się uśmiechniesz, nikt nie zauważy różnicy.
Światło przenika przez podbudowę, tak jak przez prawdziwe zęby, co sprawia, że wyglądają naturalnie.
| Korony pełnoceramiczne w systemie LAVA |
 |
 |
Korona porcelanowana na podbudowie metalowej
nie przepuszcza światła |
Korona pełnoceramiczna
przepuszcza światło jak ząb naturalny |
 |
 |
Korona porcelanowa na metalu (po lewej)
i korona porcelanowa na podbudowie cyrkonowej
(bezmetalowa; po prawej) |
Most pełnoceramiczny
i „gra światła” jak w zębie naturalnym |
| Centrum projektowania i frezowania komputerowego koron i mostów porcelanowych |
 |
 |
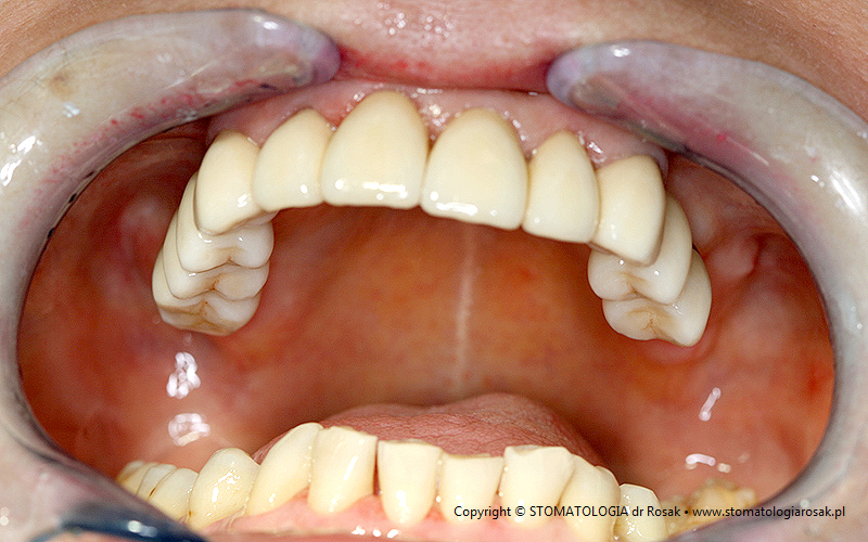
Jeśli zębów własnych jest zbyt mało możemy uzupełnić ich brak implantami lub zastosować rozwiązania kombinowane, czyli korony, mosty stałe razem z protezami ruchomymi i precyzyjnymi elementami retencyjnymi (zatrzaski, zasuwy, belki, magnesy, lokatory, rygle, korony teleskopowe), których zadaniem jest połączyć w całość oba uzupełnienia.
W przypadku braku znacznej ilości zębów możemy wykonać odbudowy
z zastosowaniem implantów bądź tzw. protez ruchomych częściowych (szkieletowych, nylonowych, acetalowych, akronowych, akrylowych) lub możemy zastosować tzw. system podparć szklanych ZX27.
Przy bezzębiu (braku wszystkich zębów) najlepiej jest wykonać leczenie implantoprotetyczne z zastosowaniem nieruchomych implantomostów lub ruchomych implantoprotez, których komfort użytkowania jest bardzo wysoki. Można też wykonać tzw. protezę osiadającą całkowitą akrylową.
Zapraszam na konsultację i ocenę możliwości terapeutycznych…
nowoczesna protetyka i implantoprotetyka jest w Twoim zasięgu.
Piękny uśmiech czeka na Ciebie !!!
Kompleksowe leczenie w krótkim czasie pozwoli Ci na szybki efekt bez przerywania pracy zawodowej !!!
DO ZOBACZENIA
Przykłady sytuacji klinicznych i rozwiązań protetycznych:
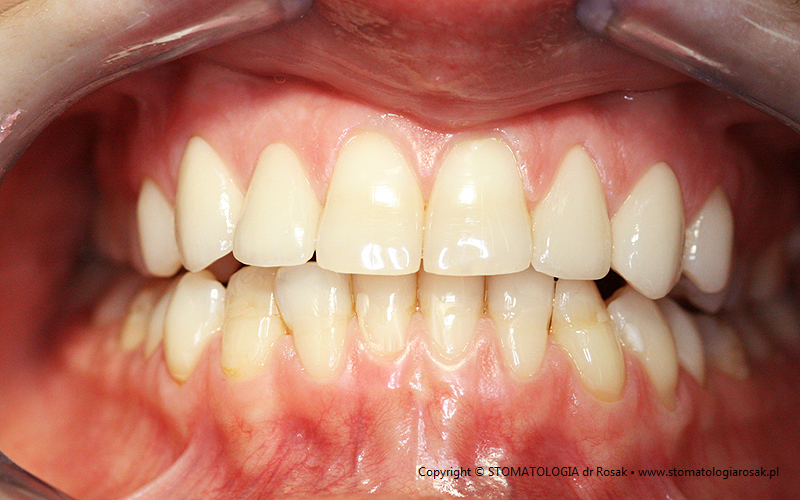
1. Pacjentka lat 28 – korony pełnoceramiczne na dwójki i trójki górne.
 |
 |
| 1a. Przed leczeniem |
1b. Gotowa praca |
 |
 |
| 1c. Gotowe korony pełnoceramiczne |
1d. Gotowe korony pełnoceramiczne
-
widok od strony wewnętrznej |
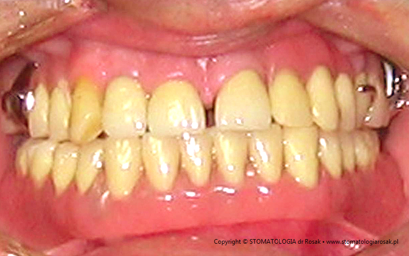
2. Pacjent z licznymi wypełnieniami (plombami), zgryzem głebokim, zaburzona estetyka
i funkcja układu narządu żucia (diastema).
 |
 |
| 2a. Pacjentka przed leczeniem |
2b. Gotowe mosty pełnoceramiczne
na podbudowie cyrkonowej |
 |
 |
2c. Gotowe mosty i korony pełnoceramiczne
na podbudowie cyrkonowej |
2d. Gotowa praca stała - korony pełnoceramiczne
na podbudowie cyrkonowej |
3. Pacjent z szeroką szparą (diastemą) pomiędzy jedynkami.
 |
 |
| 3a. Pacjent przed leczeniem |
3b. Po leczeniu koronami pełnoceramicznymi
pacjent rozważa to samo postępowanie w żuchwie |
4. Pacjentka z nieestetycznymi wypełnieniami w odcinku przednim, z tzw. wysoką linią uśmiechu
(bardzo widoczne dziąsła) - przed leczeniem.
 |
 |
| 4a. Pacjentka przed leczeniem |
4b. Gotowe korony pełnoceramiczne na zębach przednich
(od trójki do trójki) |
 |
|
| 4c. Widok od strony brzegów siecznych |
|
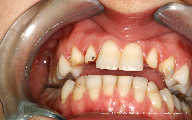
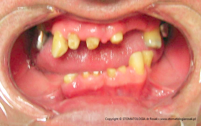
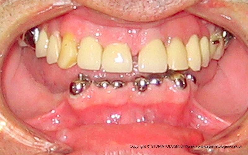
5. Pacjentka lat 18 z wrodzonym brakiem wielu zębów tzw. hipodoncją – rehabilitacja protetyczna z wykorzystaniem
stałych mostów porcelanowych na podbudowie metalowej.
|
|
| 5a. Stan przed leczeniem |
5b. RTG panoramiczne |
|
|
| 5c. Uzupełnienia tymczasowe na okres leczenia |
5d. Próba struktury metalowej mostu porcelanowego górnego |
|
|
| 5e. Gotowy most porcelanowy górny i próba struktury metalowej dolnej |
5f. Gotowe mosty porcelanowe |
6. Pacjentka lat 56 z zaawansowaną próchnicą zębów i rozległymi brakami zębowymi zgłosiła się celem usunięcia zniszczonych zębów i wykonania ruchomej protezy – wykonano kompleksowe leczenie zachowawcze i mosty porcelanowe z zastosowaniem systemu podparć szklanych ZX-27…dzięki temu wyeliminowano ruchomą protezę i zyskano komfortową pracę stałą.
 |
 |
| 6a. Sytuacja wyjściowa |
6b. Stan uzębienia po oczyszczeniu próchnicy |
 |
 |
| 6c. Wzmocnienie kanałów korzeniowych po leczeniu endodontycznym wkładami z włókien szklanych |
6d. Odbudowa rdzeni koronowych |
 |
 |
| 6e. Most porcelanowy wykonany z zastosowaniem nowoczesnego artykulatora |
6f. Gotowy most porcelanowy z podparciami szklanymi ZX-27 |
 |
 |
| 6g. Gotowy most porcelanowy |
6h. Pod ostatnim zębem widoczne podparcie szklane ZX-27 |
7. Pacjent lat 47 z utraconą jedynką górną.
 |
 |
| 7a. Stan przed leczeniem |
7b. Gotowy most na modelu gipsowym |
 |
 |
| 7c. Gotowy most porcelanowy na metalu |
7d. Gotowy most porcelanowy - widok od strony wewnętrznej |
 |
|
7e. Gotowy most i pełny uśmiech  |
|
8. Pacjentka lat 61 – okrężny most porcelanowy.
 |
 |
| 8a. Przed leczeniem |
8b. Gotowy most |
 |
|
| 8c. Gotowa praca w ustach pacjentki |
|
9. Pacjent lat 57- zgłosił się celem usunięcia zniszczonych zębów i wykonania protez ruchomych całkowitych.
NIE USUNĘLIŚMY - ANI JEDNEGO ZĘBA!!!
 |
 |
| 9a. Przed leczeniem |
9b. Gotowe korony i mosty porcelanowe na górze
(trójkę górną prawą pacjent zażyczył sobie nie korygować)
oraz w żuchwie tzw. czapeczki pokrywające oraz zatrzaski kulowe dla lepszego utrzymania protezy ruchomej dolnej |
 |
|
| 9c. Gotowa praca |
|
10. Pacjentka 55 lat – zgłosiła się celem usunięcia ostatniego korzenia w żuchwie. Ze względu na rozległe zaniki wyrostka zębodołowego i dobry stan korzenia zęba wykonaliśmy leczenie zachowawcze i precyzyjny element retencyjny w postaci zatrzasku kulowego, który stabilizuje protezę. Założeniem, ze względu na duże obciążenie całą protezą 14-zębową, było utrzymanie pracy przez okres roku… przy bezzębiu każda próba zwiększenia stabilizacji jest na wagę złota, zwłaszcza w żuchwie (na dole), stąd rozwój implantoprotetyki – mocowanie protezy na implantowanych śrubach.
 |
 |
| 10a. Zatrzask kulowy na resztkowym korzeniu |
10b. Zbliżenie zatrzasku kulowego |
11. Ta sama pacjentka po okresie, bagatela, 3,5 roku. Tym razem ząb trzeba już było usunąć.
Mieliśmy jednak do wykorzystania jeszcze zębodół po nim i dlatego też zrobiliśmy tzw. wkład dozębodołowy
… proteza dalej ma zadowalającą stabilizację.
 |
 |
| 11a. Stan po usuniętym korzeniu zęba |
11b. Widok strony dośluzówkowej protezy z zamontowanym
już gotowym wkładem dozębodołowym |
12. Pacjent zgłosił się celem usunięcia zniszczonego korzenia zęba jedynki. Zdecydowano się uratować korzeń !!!
 |
 |
| 12a. Pacjent przed leczeniem |
12b. Zacementowano rusztowanie stanowiące podporę dla przyszłej korony tzw. wkład koronowo-korzeniowy |
 |
 |
| 12c. Gotowy wkład koronowo-korzeniowy lany |
12d. Gotowa korona porcelanowa na metalu |
Przy braku równoległości zębów własnych (filarowych) możemy wykonać tzw. most składany.

Tradycyjna proteza szkieletowa górna (z prawej) i dolna (z lewej) – są to protezy podparte, o zredukowanej płycie
na podniebieniu. Pozwalają na znacznie lepsze odczucia smakowe i rozkład sił żucia w porównaniu z protezami akrylanowymi. NAJLEPSZE SPOŚRÓD RUCHOMYCH PROTEZ !!!

Proteza szkieletowa kombinowana, czyli z zastosowaniem precyzyjnych elementów retencyjnych,
po lewej tzw. rygla, a po prawej zatrzasku kulowego z wyfrezowanym podparciem.

Belka z zatrzaskiem kulowym bocznym.

Proteza szkieletowa górna z tzw. koronami teleskopowymi zamocowanymi na zębach własnych
(ulubione rozwiązanie protetyczne lekarzy niemieckich stosujących w tym celu stopy złota).

Proteza szkieletowa górna z estetycznymi klamrami acetalowymi
(metalowa klamra została zamieniona na niewidoczną klamrę acetalową… w kolorze zęba).

Proteza acetalowa (bezmetalowa) górna po lewej i dolna po prawej.

Proteza nylonowa dolna – elastyczna i dużo cieńsza od akrylanowej.

Protezy ruchome, osiadające, częściowe, akrylanowe.

Protezy osiadające całkowite akrylanowe górna (z prawej) i dolna.

Szyna relaksacyjna – stosowana przy tzw. bruksiźmie (zgrzytaniu i/lub zaciskaniu zębów),
by chronić przed ścieraniem, pękaniem i łamaniem własnych zębów oraz tkanek układu narządu żucia.

|