
Implanty Stomatologiczne
Najbardziej naturalnym uzupełnieniem brakujących zębów są implanty.
Wszczepienie implantów wiąże się z zabiegiem chirurgicznym, ale pomimo to jest o wiele mniej inwazyjny,
niż szlifowanie zdrowych zębów pod korony czy mosty.
Oszczędzamy w ten sposób nasze naturalne uzębienie.
Implanty pozwalają zachować tkankę kostną w miejscu i wokół utraconego zęba. Pełnią funkcję nowego korzenia, który wypełnia w kości lukę po utraconym własnym korzeniu. Dzięki nim możliwe jest fizjologiczne obciążenie tkanki kostnej poprzez zachowanie naturalnych funkcji zębów. Implanty przywracają niemal 100% siły żucia, co pozwala Pacjentowi od nowa cieszyć się zębami i jeść bez większych ograniczeń. Narząd żucia zostaje zrekonstruowany i Pacjentowi zostaje przywrócony nie tylko estetyczny wygląd, ale także komfort życia.
Najbardziej estetycznym rozwiązaniem jest korona lub most pełnoceramiczny, wykonane na cyrkonowym łączniku.
Gwarantuje to piękny, naturalny wygląd zęba na implancie.
Implanty są doskonałym elementem stabilizacyjnym wyjmowanej (ruchomej) protezy. Już na dwóch implantach możliwe jest wykonanie protezy całkowitej dolnej, umocowanej na elementach retencyjnych takich, jak zatrzaski kulowe, belki, teleskopy czy lokatory. Wszczepienie większej ilości implantów umożliwia mocniejsze osadzenie protezy, a tym samym większy komfort w jej użytkowaniu. Jeżeli zamocujemy 5-6 implantów w dolnej szczęce lub 6-9 w górnej, możemy wykonać niezdejmowany most porcelanowy. Takimi zębami możemy pewnie jeść, szeroko się uśmiechać i nie obawiać się, że proteza wypadnie lub będzie się przemieszczać. Wpływa to znacząco na poprawę komfortu pacjenta, a tym samym pozwala bez skrępowania cieszyć się życiem. Stosujemy najwyższej klasy implanty szwajcarskiej firmy Camlog, jednego z liderów europejskich rynków implantologicznych. Są to wszczepy stomatologiczne gwarantujące naszym Pacjentom najwyższą jakość, bezpieczeństwo oraz znakomitą estetykę. Implanty Camlog wykonane są z tytanu.
Utrata jednego zęba powoduje już nieodwracalne zmiany w naszym układzie narządu żucia.
Utrata kolejnych zębów potęguje zmiany patologiczne,
doprowadzając do przeciążenia zwarciowego pozostałych zębów.
CZY WARTO ODBUDOWAĆ BRAKUJĄCE ZĘBY ???
OBEJRZYJ FILM I ZDECYDUJ SAM !!!
Przykłady sytuacji klinicznych i rozwiązań implantologicznych:
1. Pacjent z brakującą czwórką górną.
 |
 |
1a. Stan po odsłonięciu implantu
po okresie gojenia
tj. 6 miesiącach.
Pacjent przygotowany do wykonawstwa implantokorony |
1b. Widok od strony lewej |
 |
 |
1c. Przykręcony tzw. abutment (filar protetyczny) do implantu,
na którym zostanie zacementowana gotowa implantokorona |
1d. Gotowa praca implantoprotetyczną |
2. Pacjent z brakującą dwójką górną lewą.
 |
 |
| 2a. Stan po odsłonięciu implantu |
2b. Dopasowany abutment protetyczny |
 |
|
| 2c. Gotowa implantokorona |
|
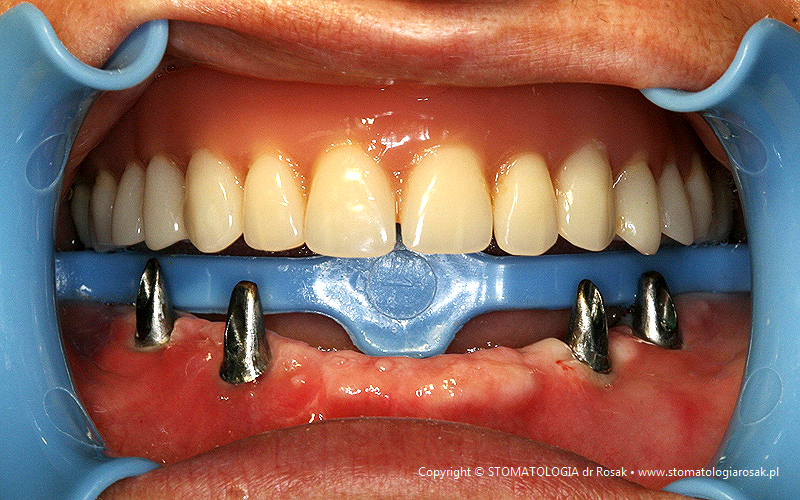
3. Pacjentka z bezzębiem w żuchwie – implantacja czterech implantów i implantomost okrężny.
 |
 |
| 3a. Implanty wraz z abutmentami na modelu gipsowym |
3b. Abutmenty przykręcone do implantów w jamie ustnej |
 |
 |
| 3c. Gotowa konstrukcja implantomostu na modelu gipsowym |
3d. Gotowy implantomost na modelu gipsowym |
 |
|
3e. Gotowa praca na stałe umocowana
w jamie ustnej pacjenta |
|
4. Pacjentka z bezzębiem z wprowadzonymi 8 implantami celem wykonania stałego implantomostu.
 |
 |
| 4a. Pacjentka z bezzębiem z wprowadzonymi 8 implantami celem wykonania stałego implantomostu |
4b. Implantomost gotowy - widok od strony dośluzówkowej |
 |
 |
| 4c. Gotowy implantomost |
4d. Zadowolona pacjentka z gotową pracą stałą |
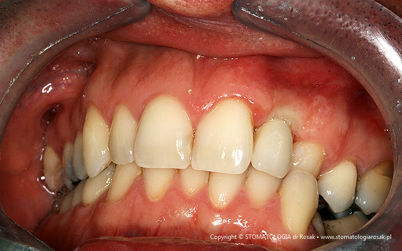
5. Pacjent z brakującymi pięcioma zębami bocznymi.
 |
 |
| 5a. Wprowadzono implanty zębowe - wystające śruby to dokręcone transfery wyciskowe do wykonania implantokoron |
5b. Odlany model wraz z przygotowanymi
łącznikami indywidualnymi |
 |
 |
| 5c. Gotowe implantokorony na modelu gipsowym |
5d. Gotowa praca w ustach pacjenta |
6. Pacjent z bezzębiem w żuchwie.
 |
 |
6a. Pacjent z bezzębiem w żuchwie. Wprowadzono cztery implanty i zastosowano system umocowań retencyjnych
typu zatrzaski kulowe |
6b. Gotowa proteza całkowita
- widok od strony dośluzowkowej |
Implantoproteza ruchoma mocowana na dwóch zatrzaskach kulowych. |
 |
 |
Implantoproteza ruchoma mocowana na czterech zatrzaskach kulowych. |
 |
 |
|